Frattura della Caviglia
Le fratture della caviglia sono eventi molto comuni. La lesione scheletrica può essere causata da traumi diretti (incidenti stradali o sportivi nella maggioranza dei casi) od indiretti (esempio distorsioni). La gravità della frattura dipende dall’energia del trauma subito.
Per semplicità dal punto di vista descrittivo dividiamo le strutture scheletriche che costituiscono la caviglia nei malleoli e nel pilone tibiale. I malleoli sono quelle strutture ossee laterali, facilmente individuabili perché sporgenti, poste all’estremità della gamba. Quello interno è formato da una tuberosità della tibia, quello esterno dall’estremità del perone. La funzione dei malleoli è quella di impedire al piede di dislocarsi verso l’interno o verso l’esterno rispetto alla gamba, formando una vera e propria pinza di contenzione. Il pilone tibiale consiste nella parte centrale dell’articolazione della caviglia (costituita dalla tibia) che ha la funzione di sopportare il peso del corpo.
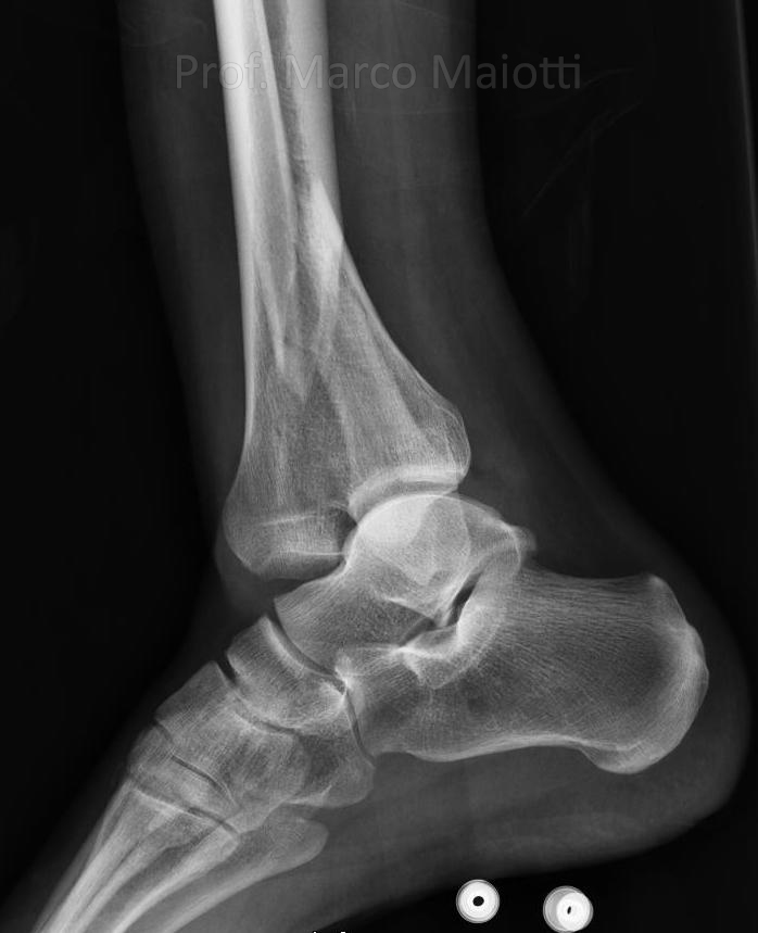
I segmenti scheletrici più frequentemente colpiti sono i malleoli. La frattura può colpire uno solo o tutti i malleoli (quello esterno o malleolo peroneale, quello interno o malleolo tibiale, quello posteriore o terzo malleolo). Nei casi più gravi si può associare una lussazione della caviglia (il piede si disloca dalla sua posizione anatomica rispetto alla tibia). Raramente il trauma può essere talmente violento da causare una ferita della pelle con fuoriuscita dell’osso (frattura esposta).La ricostruzione anatomica di queste fratture è importantissima per evitare conseguenze funzionali, quindi nella grande maggioranza dei casi, è necessario il trattamento è chirurgico. L’operazione può essere eseguita anche in anestesia periferica (si addormenta solo l’arto inferiore coinvolto dal trauma) ed in regime di one day surgery (24 ore di ricovero).
Più rare sono le fratture del pilone tibiale (che spesso coinvolgono anche i malleoli) (Fig.1 – Fig.).
Queste sono fratture molto difficili da affrontare. La caviglia è una regione anatomica coperta solamente da un sottile strato cutaneo. La pelle in questa sede è molto delicata e se non gestita in maniera idonea durante la chirurgia, può andare incontro a disturbi di cicatrizzazione esponendo l’osso sottostante, con conseguente altissimo rischio di infezione. Questo rischio concreto spesso ha dissuaso gli ortopedici da eseguire ricostruzioni chirurgiche nei soggetti vittime di queste fratture, accettando gradi variabili di invalidità funzionale. Oggi fortunatamente grazie a tecniche chirurgiche avanzate anche mini-invasive è possibile eseguire la ricomposizione anatomica di queste gravi lesioni limitando al massimo le possibili complicanze (Fig.3 – Fig.4).
Sono fratture che devono necessariamente essere affrontate da chirurghi che hanno eseguito un addestramento specifico. E’ dimostrato in letteratura internazionale che, in particolare nel trattamento di queste fratture, la percentuale di complicanze diminuisce con il livello di esperienza dell’operatore.



